
ΕΜΦΡΑΞΕΙΣ ΡΗΤΙΝΗΣ (σφραγισματα)
Τι είναι η τερηδόνα
Είναι νόσος που προσβάλλει το 60-90% των παιδιών και το σύνολο των ενηλίκων.1 στα 3 άτομα είναι βέβαιο ότι θα προσβληθεί από τερηδόνα. Αιτία της είναι τα μικρόβια και συγκεκριμένα ένας στρεπτόκοκκος ο S.mutans. Η τερηδόνα μπορεί να προκαλέσει μια κοιλότητα στο δόντι είτε πολύ σύντομα (2-3 μήνες) είτε αργά (έτη). Αυτό εξαρτάται από το πόσο έντονο και διαρκές είναι το ερέθισμα και η αιτία δημιουργίας της τερηδόνας.
τα τρία Στάδια της τερηδόνας

Στάδιο αδαμαντίνης
Σε αυτό το στάδιο έχουμε απουσία πόνου ή ακόμα και κοιλότητας. Η ανίχνευση της τερηδόνας μπορεί να γίνει μόνο από τον οδοντίατρο και μετά από λήψη ακτινογραφιών και πολύ προσεκτικό κλινικό έλεγχο.

Στάδιο οδοντίνης
Σε αυτό το στάδιο έχουμε προσβολή πέρα την αδαμαντίνης και του επόμενου στρώματος του δοντιού δηλαδή της οδοντίνης. Είναι πιθανή η απουσία πόνου αλλά πλέον έχουμε σχηματισμό κοιλότητας

Στάδιο εμπλοκής του πολφού
Η τερηδόνα έχει φτάσει στο εσωτερικό του δοντιού (πολφός). Συνήθως έχουμε πόνο (πολφίτιδα) που είναι πιθανό να μην υποχωρεί με κοινά αναλγητικά.
Οι αποκαταστάσεις σύνθετης ρητίνης (σφραγίσματα) είναι λευκά πολυμερή υλικά που συγκολλούνται στους εναπομείναντες οδοντικούς ιστούς και ουσιαστικά υποκαθιστούν τους ελλείποντες.
Έχουν βελτιωμένες βιολογικές, δομικές-μηχανικές και αισθητικές ιδιότητες από τις πρώτες ρητίνες που χρησιμοποιήθηκαν στην οδοντιατρική και από το αμάλγαμα το οποίο δεν συγκολλάται αλλά συγκρατείται μηχανικά στο δόντι.
Το αμάλγαμα χρησιμοποιήθηκε για πάνω από 150 χρόνια στην οδοντιατρική η χρήση του όμως έχει ελαττωθεί σημαντικά λόγω μειωμένης αισθητικής, πιθανών δυσμενών επιπτώσεων στην υγεία λόγω της περιεκτικότητας του σε υδράργυρο και κυρίως για περιβαλλοντικούς λόγους.
Για αυτό είναι φρόνιμο να αξιολογούνται οι παλιές εμφράξεις αμαλγάματος και συστήνεται η αντικατάσταση τους από σύνθετες ρητίνες .
Το αμάλγαμα χρησιμοποιήθηκε για πάνω από 150 χρόνια στην οδοντιατρική η χρήση του όμως έχει ελαττωθεί σημαντικά λόγω μειωμένης αισθητικής, πιθανών δυσμενών επιπτώσεων στην υγεία λόγω της περιεκτικότητας του σε υδράργυρο και κυρίως για περιβαλλοντικούς λόγους.
Για αυτό είναι φρόνιμο να αξιολογούνται οι παλιές εμφράξεις αμαλγάματος και συστήνεται η αντικατάσταση τους από σύνθετες ρητίνες .
Ο οδοντίατρος θα σας ενημερώσει για όλες
τις επιλογές που έχετε και θα σας βοηθήσει
να επιλέξετε την κατάλληλη θεραπεία
τις επιλογές που έχετε και θα σας βοηθήσει
να επιλέξετε την κατάλληλη θεραπεία
Ποια αποκατάσταση είναι ιδανική για εμένα;
Πολλοί παράγοντες επηρεάζουν την εμφάνιση, τη διάρκεια ζωής , την αποτελεσματικότητα και το κόστος των οδοντικών αποκαταστάσεων όπως:
οι εναπομείναντες οδοντικοί ιστοί
τα στοιχεία που περιέχονται στα υλικά
επιλογή τεχνικής
ποιο είναι τα δόντι του απέναντι φραγμού
ποιο δοντι αφορά η αποκατάσταση και τι δυνάμεις δέχεται αυτό
τύπος σύγκλεισης κ.α.
ΑΜΕΣΕΣ ΑΠΟΚΑΤΑΣΤΑΣΕΙΣ
Τι είναι οι άμεσες αποκαταστάσεις
Είναι οι εμφράξεις που τοποθετούνται σε μια παρασκευασμένη κοιλότητα σε 1 ραντεβού
Τα υλικά που χρησιμοποιούνται είναι οι σύνθετες ρητίνες, το οδοντιατρικό αμάλγαμα και οι υαλοιονομερείς κονίες.
Κάθε υλικό έχει πλεονεκτήματα και μειονεκτήματα.
ΕΜΜΕΣΕΣ ΑΠΟΚΑΤΑΣΤΑΣΕΙΣ
Τι είναι οι έμμεσες αποκαταστάσεις
Περιλαμβάνουν ένθετα, επένθετα, υπερένθετα, endocrowns , όψεις
Τα υλικά που χρησιμοποιούνται είναι οι σύνθετες ρητίνες, τα κεραμικά, ο χρυσός κ.α.
Κάθε υλικό έχει πλεονεκτήματα και μειονεκτήματα.
Χρησιμοποιούνται όταν ένα δόντι έχει καταστραφεί τόσο που δεν μπορεί να αποκατασταθεί με άμεση έμφραξη.
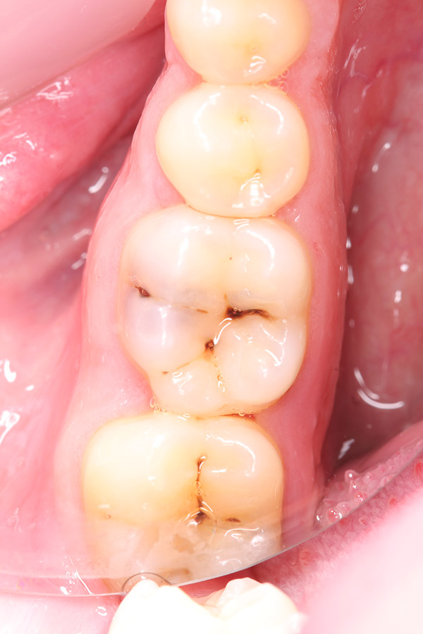
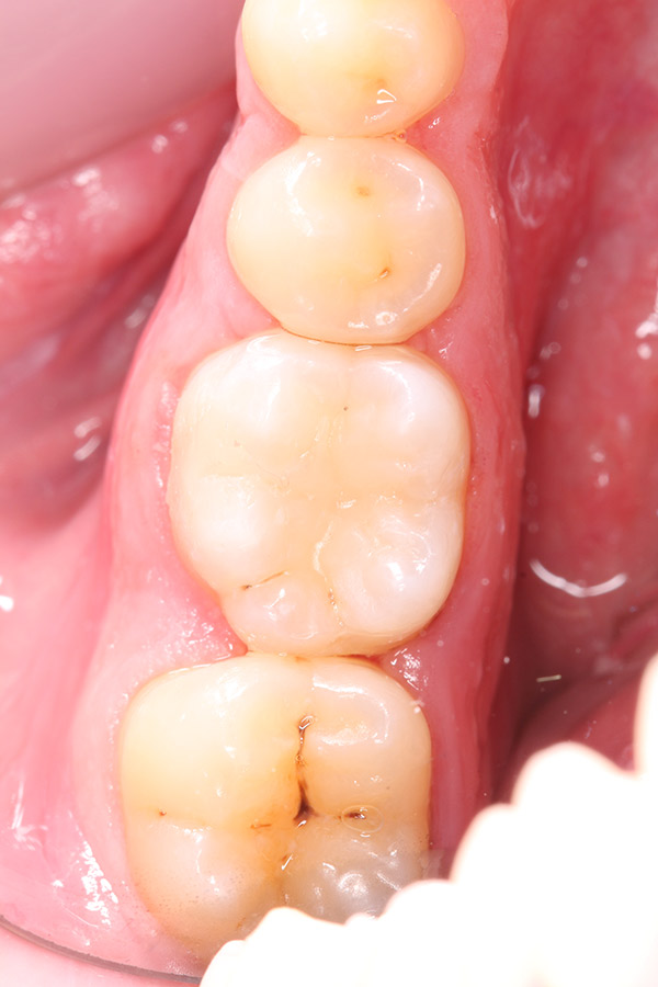
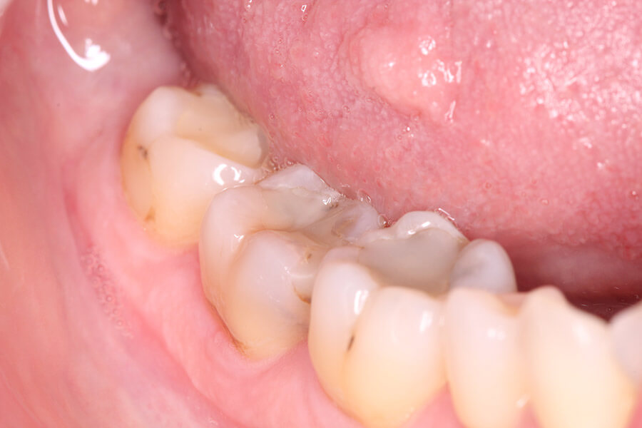
Αληθινά Περιστατικά

Πριν

Πριν

Πριν

Πριν

Μετά

Μετά

Μετά

Μετά
Αληθινά Περιστατικά

Πριν

Μετά

Πριν

Μετά

Πριν

Μετά

Πριν

Μετά
Ο αριθμός των επισκέψεων που απαιτούνται είναι συνήθως 2-3
Στο διάστημα αναμονής για την κατασκευή της εργασίας
το δόντι φέρει μεταβατική αποκατάσταση για να
μην διακινδυνεύσει η ακεραιότητα του.
το δόντι φέρει μεταβατική αποκατάσταση για να
μην διακινδυνεύσει η ακεραιότητα του.


